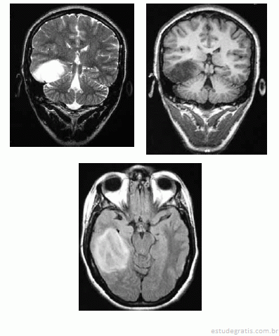
Uma mulher de 36 anos de idade foi encaminhada ao ambula...
Uma mulher de 36 anos de idade foi encaminhada ao ambulatório de neurologia por dificuldade no controle das crises epilépticas. Ela referiu ter tido uma convulsão febril aos 36 meses e ter passado a ter crises em que ficava “fora do ar” aos 11 anos. Ela recebeu o diagnóstico de epilepsia generalizada do tipo ausência e foi-lhe prescrito fenobarbital. Desde então, já fez uso de primidona, ácido valpróico e diazepam, em monoterapia e associados ao fenobarbital, sem sucesso. No exame, a paciente apresentava um comprometimento da memória recente e aparentava ter um sutil deficit dos campos visuais e Babinski à esquerda. Apesar de trazer um EEG normal, foi solicitada RNM de encéfalo, que é reproduzida abaixo.

Com referência a esse quadro clínico, julgue os itens seguintes.
A lesão demonstrada na RNM pode significar uma neoplasia infiltrativa de baixo grau de malignidade.Comentários
Faça login para participar da discussão.
Cadastre-se Gratuitamente