Questão
Q686980
Prova: Concurso Fundação Hospitalar de Saúde - SE (FHS/SE) - Médico Área Neuroclínica - Centro de Seleção e de Promoção de Eventos UnB (CESPE) do ano 2009
•
Fundação Hospitalar de Saúde - SE (FHS/SE)
Uma mulher de 55 anos de idade, sem comorbidades, há três...
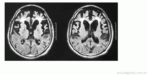
Uma mulher de 55 anos de idade, sem comorbidades, há três anos começou a apresentar distúrbio do comportamento, comprometimento do senso moral, da autocrítica, do poder de abstração e da memória. No exame, ela pouco colaborava com o examinador, possuía uma rigidez axial e apendicular, além de sutil tremor em repouso. O exame de imagem (RNM) a seguir foi realizado para auxiliar o diagnóstico.

Com base nesse quadro clínico, julgue os itens subsequentes.
Caso a paciente apresente paralisia do olhar horizontal associado aos sintomas descritos, deve-se tratar de paralisia supranuclear progressiva.Comentários
Faça login para participar da discussão.
Cadastre-se Gratuitamente
Carregando comentários...