Questão
Q885907
Prova: IADES - 2020 - SES-DF - Endoscopia Respiratória II
•
IADES - 2020 - SES-DF - Endoscopia Respiratória II
Um Paciente de 25 anos de idade, com tosse e febre de in?
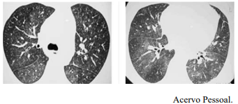
Um Paciente de 25 anos de idade, com tosse e febre de início súbitos 60 dias após transplante de medula óssea, realizou RT-PCR para Covid-19, cujo resultado foi negativo. Constataram-se exame de BAAR negativo, teste de Mantoux negativo e fibrobroncoscopia com cultura e BAAR negativos. A tomografia de tórax apresenta opacidades com atenuação em vidro fosco e pequenos nódulos pulmonares bilaterais, conforme as imagens a seguir.

Considerando esse caso clínico, as imagens apresentadas e os conhecimentos médicos correlatos, julgue o item a seguir.
Está indicado tratamento com RHZE.
Comentários
Faça login para participar da discussão.
Cadastre-se Gratuitamente
Carregando comentários...