Questão
Q886754
Prova: IADES - 2020 - SES-DF - Grupo 002 - Cargos 504 a 509, 517 e 602
•
IADES - 2020 - SES-DF - Grupo 002 - Cargos 504 a 509, 517 e 602
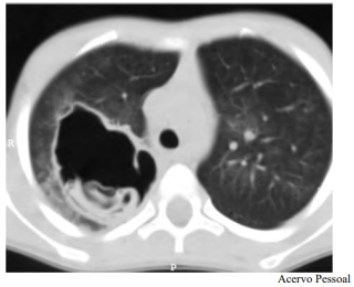
Determinado paciente de 49 anos de idade, morador em zona
Determinado paciente de 49 anos de idade, morador em zona rural, iniciou com quadro de tosse importante, com piora progressiva, de início há dois meses, associada a alguns episódios de vômica. Refere febrículas na última semana. O paciente é tabagista leve, trabalha com criação de ovelhas e mora em casa com cachorros e gatos. Nega viagens internacionais recentes. Não foi encontrada nenhuma alteração no exame físico. Verificaram-se FC = 80 bpm, FR = 20 irpm e SatO2 = 99% em ar ambiente. A tomografia de tórax apresenta uma lesão cística de paredes espessas e conteúdo heterogêneo em seu interior, conforme representado na imagem a seguir.

Tendo em vista esse caso clínico e os conhecimentos médicos correlatos, julgue o item a seguir.
Indica-se tratamento com cisplatina e etoposídeo.
Comentários
Faça login para participar da discussão.
Cadastre-se Gratuitamente
Carregando comentários...