Questão
Q886712
Prova: IADES - 2020 - SES-DF - Grupo 002 - Cargos 504 a 509, 517 e 602
•
IADES - 2020 - SES-DF - Grupo 002 - Cargos 504 a 509, 517 e 602
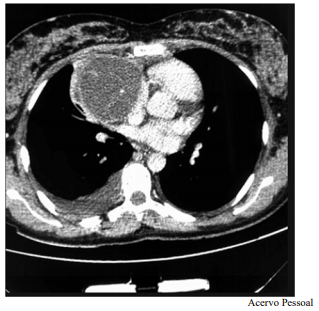
Um paciente de 17 anos de idade revela idas frequentes à
Um paciente de 17 anos de idade revela idas frequentes à emergência por causa de tosse e dispneia. Em exame de imagem investigatório, identificou-se, na tomografia computadorizada de tórax (TCT), uma massa mediastinal anterior bem definida, com densidade de partes moles, medindo cerca de 17 cm x 11 cm x 10 cm, conforme representado na imagem a seguir. A lesão não invadia estruturas adjacentes, e não foram encontradas outras alterações nas tomografias de tórax, de crânio e de abdome. Foi realizada uma biópsia pré-operatória guiada por TCT, cujo diagnóstico foi compatível com teratoma de mediastino.

Considerando esse caso clínico, a imagem apresentada e os conhecimentos médicos correlatos, julgue o item a seguir.
Cisplatina é o tratamento padrão-ouro para essa condição.
Comentários
Faça login para participar da discussão.
Cadastre-se Gratuitamente
Carregando comentários...