Questão
Q885931
Prova: IADES - 2020 - SES-DF - Endoscopia Respiratória II
•
IADES - 2020 - SES-DF - Endoscopia Respiratória II
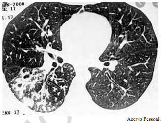
Um adolescente de 17 anos de idade procura atendimento em
Um adolescente de 17 anos de idade procura atendimento em função de tosse vespertina, febre e hemoptise em pequena quantidade. Refere sudorese noturna e perda de peso. A tomografia de tórax apresenta nódulos centrolobulares com padrão de árvore em brotamento, além de pequenas cavitações espessas e de paredes irregulares, bem como brônquios espessados em segmento posterior do lobo inferior direito, conforme a imagem a seguir.

Tendo em vista esse caso clínico, a imagem apresentada e os conhecimentos médicos correlatos, julgue o item a seguir.
O paciente é forte candidato a tratamento com RHZE.
Comentários
Faça login para participar da discussão.
Cadastre-se Gratuitamente
Carregando comentários...