Uma paciente de 47 anos de idade, não tabagista, apresen
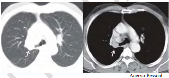
Uma paciente de 47 anos de idade, não tabagista, apresenta episódio de tosse e hemoptise. A tomografia computadorizada de tórax, realizada para investigação, evidenciou um nódulo pulmonar, com densidade de partes moles, de 2,1 cm, com obstrução do brônquio lobar superior direito, demonstrada nas imagens a seguir. Não há linfonodos mediastinais aumentados. A fibrobroncoscopia para investigação evidenciou uma lesão sólida em brônquio lobar superior direito, com obstrução total do brônquio, e aspecto em dedo de luva. As tomografias computadorizadas de abdome e de crânio não identificaram lesões metastáticas a distância. A biópsia endobrônquica demonstrou ser um carcinoide típico.
A espirometria permite ressecção pulmonar (lobectomia e pneumonectomia), e a avaliação clínica pré-operatória permite cirurgia de grande porte.

Em relação a esse caso clínico e com base nos conhecimentos médicos correlatos, julgue o item a seguir.
De acordo com a classificação da Organização Mundial da Saúde (OMS), as principais categorias dos tumores neuroendócrinos incluem carcinoma de pequenas células, carcinoma neuroendócrino de grandes células (CNEGC), carcinoide típico e carcinoide atípico.
Comentários
Faça login para participar da discussão.
Cadastre-se Gratuitamente