Questão
Q885861
Prova: IADES - 2020 - SES-DF - Endoscopia Respiratória II
•
IADES - 2020 - SES-DF - Endoscopia Respiratória II
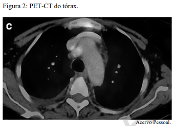
Um paciente de 62 anos de idade, tabagista ativo, cerca d
Um paciente de 62 anos de idade, tabagista ativo, cerca de 180 anos-maço, queixa-se de cansaço, tosse seca e perda de peso; por isso, procurou atendimento médico. O paciente referiu que pesava 100 kg e perdeu 10 kg. Realizou-se tomografia computadorizada de tórax, com evidência de lesão sólida de 2,1 cm em topografia de lobo inferior à direita, sólida, espiculada, com margens bem definidas e densidade de partes moles, assim como linfonodomegalia paratraqueal direita de 1,5 cm, paratraqueal esquerda de 1,2 cm e subcarinal de 2 cm. O paciente foi submetido a PET-CT de corpo inteiro, com evidência de hipercaptação de radiofármaco pela lesão (SUV 12) e eplo linfonodo representado na figura 2 a seguir.


Com base nesse caso clínico, nas imagens apresentadas e nos conhecimentos médicos correlatos, julgue o item a seguir.
O linfonodo hipercaptante no PET desse paciente, representado na figura 2, trata-se do paratraqueal direito.
Comentários
Faça login para participar da discussão.
Cadastre-se Gratuitamente
Carregando comentários...