Questão
Q885840
Prova: IADES - 2020 - SES-DF - Endoscopia Respiratória II
•
IADES - 2020 - SES-DF - Endoscopia Respiratória II
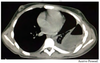
Um paciente do sexo masculino, jovem de 21 anos de idade,
Um paciente do sexo masculino, jovem de 21 anos de idade, com diagnóstico prévio de esquizofrenia, foi internado para investigação de alteração na tomografia de tórax, conforme a imagem a seguir. A clínica apresentada era perda de peso, febre vespertina, tosse e um episódio de hemoptise. É familiar contactante de paciente com tuberculose ativa.

Com base nesse caso clínico e nos conhecimentos médicos correlatos, julgue o item a seguir.
O paciente tem indicação de pleuroscopia para descorticação pulmonar e biópsia de pleura.
Comentários
Faça login para participar da discussão.
Cadastre-se Gratuitamente
Carregando comentários...