Questão
Q885401
Prova: IADES - 2020 - SES-DF - Grupo 002
•
IADES - 2020 - SES-DF - Grupo 002
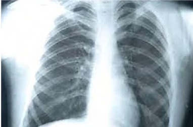
Um paciente etilista deu entrada no pronto-socorro com in
Um paciente etilista deu entrada no pronto-socorro com intensa dor na região torácica, associado a vômitos, após realizar grande esforço. A dor é localizada na região retroesternal e em abdome superior, de início agudo e de forte intensidade. Quanto a comorbidades, informa tratamento para úlcera gástrica há um ano. Queixa-se de odinofagia associada ao quadro de dor no peito. Ao exame físico, constatam-se abdome doloroso sem sinal de irritação peritoneal, PA = 150 mmHg x 100 mmHg, FC = 130 bpm, FR = 30 irpm e SatO2 = 93% AA. Realizou raios X de tórax, representado na imagem a seguir.

Disponível em: <https://www.tuasaude.com/>
No que se refere a esse caso clínico e com base nos conhecimentos médicos correlatos, julgue o item a seguir.
Deve-se solicitar sorologia para Chagas, a fim de afastar a principal doença infecciosa relacionada a esses sintomas.
Comentários
Faça login para participar da discussão.
Cadastre-se Gratuitamente
Carregando comentários...