Questão
Q885394
Prova: IADES - 2020 - SES-DF - Grupo 002
•
IADES - 2020 - SES-DF - Grupo 002
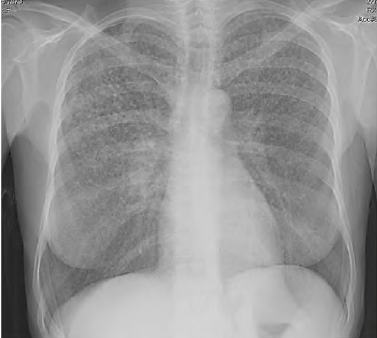
Uma paciente de 45 anos de idade compareceu, acompanhada
Uma paciente de 45 anos de idade compareceu, acompanhada pela filha, a uma consulta ambulatorial. Queixa-se de perda de peso (em torno de 4 kg nos últimos seis meses), febre vespertina e fadiga há mais de 20 dias. Observe que tem trabalhado muito, tem uma fadiga crônica e acha que iniciado os sintomas após exposição à chuva e o frio quando voltava do trabalho para casa. Ela informa que é etilista social e tabagista (15 cigarros / dia), e alguns exames laboratoriais como hemograma, eletrólitos, função hepática e renais normais. Os raios X de tórax estão representados na imagem a seguir. O resultado do PPD e o lavado brônquico são negativos.

Disponível em: <http://www.medicinanet.com.br/> . Acesso em: 12 nov.2020.
Com base nesse caso clínico, na imagem apresentada e nos conhecimentos médicos correlatos, julgue o item a seguir.
A febre vespertina, nesse caso, é patognomônica de tuberculose e fecha o diagnóstico do paciente mencionada.
Comentários
Faça login para participar da discussão.
Cadastre-se Gratuitamente
Carregando comentários...