Questão
Q831241
Prova: Concurso Escola Superior de Ciências da Saúde - DF (ESCS/DF) - Residência Médica em Neurofisiologia Clínica (Residência Neurologia) - Instituto Americano de desenvolvimento (IADES) do ano 2019
•
Escola Superior de Ciências da Saúde - DF (ESCS/DF)
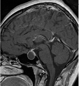
Uma paciente de 30 anos de idade, apresentando fadiga, s...

Uma paciente de 30 anos de idade, apresentando fadiga, sonolência e intolerância ao frio, chegou ao pronto-socorro. Foram solicitados exames laboratoriais (que evidenciaram (VR = 0,45 a 4,5 mUI/L) TSH = 1 mUI/L, T4 = 3 mg/dL (VR = 4,5 a 12,6 mg/dL) e T3 = 61 mg/dL (VR = 80 a 180 mg/dL), perfil hormonal (única alteração foi prolactina = 49 mg/mL (VR = 2,83 a 30 mg/mL) e ressonância magnética do encéfalo.
A respeito desse caso clínico e da imagem de ressonância magnética apresentada, julgue os itens a seguir.
Deve-se solicitar campimetria para avaliação de compressão do quiasma.Comentários
Faça login para participar da discussão.
Cadastre-se Gratuitamente
Carregando comentários...