Questão
Q687002
Prova: Concurso Fundação Hospitalar de Saúde - SE (FHS/SE) - Médico Área Neuroclínica - Centro de Seleção e de Promoção de Eventos UnB (CESPE) do ano 2009
•
Fundação Hospitalar de Saúde - SE (FHS/SE)
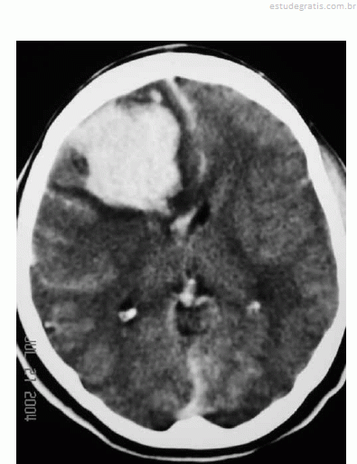
Uma mulher de 29 anos de idade teve sua gestação interro...
Uma mulher de 29 anos de idade teve sua gestação interrompida com 35 semanas, mediante parto cesariano, por ter apresentado quadro compatível com a doença hipertensiva específica da gravidez. No quinto dia de pós-operatório, apresentou importante dor de cabeça seguida de crises convulsivas; na avaliação laboratorial, foram atestadas plaquetopenia e alteração da função hepática. Ela foi levada à unidade de terapia intensiva, onde o plantonista observou hemiparesia esquerda e solicitou uma tomografia de crânio sem contraste, que é reproduzida abaixo.

Com base nessas informações, julgue os itens que se seguem.
A paciente deve receber fenitoína endovenosa, visto que há alta probabilidade de recrudescência das crises epilépticas.Comentários
Faça login para participar da discussão.
Cadastre-se Gratuitamente
Carregando comentários...