Questão
Q609092
Prova: Concurso Secretaria de Estado da Sa?de - RO (SESAU/RO) 2017 - M?dico Cardiologista (20 H) - FUNRIO Funda??o de Apoio a Pesquisa, Ensino e Assist?ncia (FUNRIO) do ano 2017
•
Secretaria de Estado da Saúde - RO (SESAU/RO) 2017
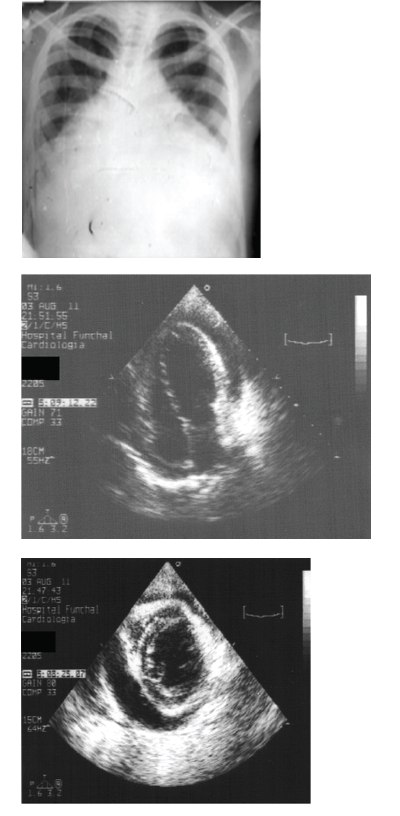
Observe as imagens abaixo,respectivamente de um RX de tó...
Observe as imagens abaixo,respectivamente de um RX de tórax em Pa,um ecocardiograma corte apical, e corte transversal do mesmo paciente.

Nesse caso, é correto afirmar que:
Comentários
Faça login para participar da discussão.
Cadastre-se Gratuitamente
Carregando comentários...