Questão
Q608170
Prova: Concurso Secretaria de Estado da Sa?de - RO (SESAU/RO) 2017 - M?dico Cardiopediatra ?rea Ecografia - FUNRIO Funda??o de Apoio a Pesquisa, Ensino e Assist?ncia (FUNRIO) do ano 2017
•
Secretaria de Estado da Saúde - RO (SESAU/RO) 2017
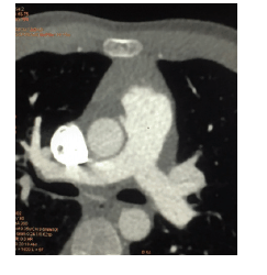
A origem anômala das artérias coronarianas é uma entid...
A origem anômala das artérias coronarianas é uma entidade relativamente rara, podendo se apresentar de várias formas clínicas e evoluir de forma adversa. A angiotomografia multislice das artérias coronarianas vem ganhando espaço na prática clínica diária, representando importante método propedêutico, com grande potencial na avaliação anatômica dessas artérias. Considere a seguinte imagem:

A anomalia coronária detectada na imagem é:
Comentários
Faça login para participar da discussão.
Cadastre-se Gratuitamente
Carregando comentários...