Questão
Q608169
Prova: Concurso Secretaria de Estado da Sa?de - RO (SESAU/RO) 2017 - M?dico Cardiopediatra ?rea Ecografia - FUNRIO Funda??o de Apoio a Pesquisa, Ensino e Assist?ncia (FUNRIO) do ano 2017
•
Secretaria de Estado da Saúde - RO (SESAU/RO) 2017
Uma criança de 2 anos chega para consulta no ambulatóri...
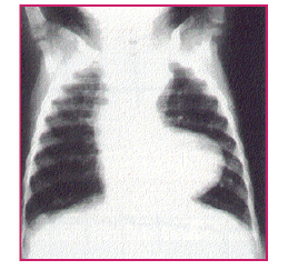
Uma criança de 2 anos chega para consulta no ambulatório de cardiologia pediátrica com quadro de cianose e dispneia. Durante a investigação diagnóstica foi solicitada radiografia de tórax, cuja imagem está a seguir:

Após analisar essa imagem, associando ao quadro clínico apresentado, devemos suspeitar da seguinte patologia:
Comentários
Faça login para participar da discussão.
Cadastre-se Gratuitamente
Carregando comentários...