Questão
Q339685
Prova: Concurso Secretaria de Estado da Saúde - DF (SES/DF) - Médico Área Hematologia e Hemoterapia - Instituto Americano de desenvolvimento (IADES) do ano 2014
•
Secretaria de Estado da Saúde - DF (SES/DF)
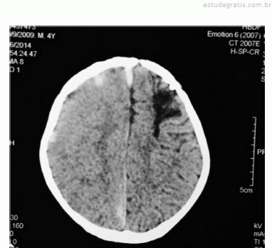
Observe a figura a seguir. Paciente com quatro anos de...
Observe a figura a seguir.

Paciente com quatro anos de idade, portador de hemofilia A, com inibidor de alta resposta em alto título (60 unidades Bethesda), apresenta, há 15 dias, queda da própria altura, quadro de náusea, cefaleia e crise convulsiva. A imagem da tomografia de crânio sem contraste mostra-se com o aspecto apresentado na figura. Nessa situação hipotética, o tipo de terapia indicado para o tratamento de urgência do paciente é a reposição de
Comentários
Faça login para participar da discussão.
Cadastre-se Gratuitamente
Carregando comentários...