Questão
Q299118
Prova: Concurso Senado Federal (SF) (2ª edição) - Analista Legislativo Área Medicina - Fundação Getúlio Vargas (FGV) do ano 2008
•
Senado Federal (SF) (2ª edição)
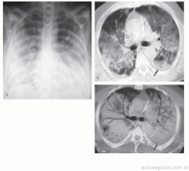
O conjunto de imagens abaixo representa o diagnóstico de:...
O conjunto de imagens abaixo representa o diagnóstico de:

Comentários
Faça login para participar da discussão.
Cadastre-se Gratuitamente
Carregando comentários...