Questão
Q299106
Prova: Concurso Senado Federal (SF) (2ª edição) - Analista Legislativo Área Medicina - Fundação Getúlio Vargas (FGV) do ano 2008
•
Senado Federal (SF) (2ª edição)
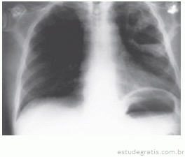
Um paciente de 48 anos foi admitido na UTI com história d...
Um paciente de 48 anos foi admitido na UTI com história de uma forte gripe até uma semana atrás. Apresentava síndrome febril, tosse, dispnéia; há uma hora, apresentou hipotensão arterial. Baseado na história e na imagem, podemos afirmar o diagnóstico de:

Comentários
Faça login para participar da discussão.
Cadastre-se Gratuitamente
Carregando comentários...