Questão
Q268278
Prova: Concurso Ministério da Saúde - Médico Área Ultrassonografia em Ginecologia - Centro de Seleção e de Promoção de Eventos UnB (CESPE) do ano 2009
•
Ministério da Saúde
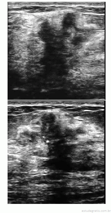
Uma paciente de 32 anos de idade procurou um médico ginec...
Uma paciente de 32 anos de idade procurou um médico ginecologista por ter palpado nódulo na mama direita. Ao exame das mamas, foi percebido nódulo endurecido, fixo aos planos adjacentes, com cerca de 3 cm de diâmetro. Foi realizada, então, mamografia, que revelou presença de lesão espiculada, com limites imprecisos, retração do parênquima adjacente e microcalcificações pleomórficas agrupadas. O exame ultrassonográfico evidenciou a lesão representada na forma gráfica na figura abaixo.

A respeito dessa situação hipotética, julgue os itens de 75 a 80.
Microcalcificações são os achados ecográficos que mais elevam o risco de malignidade, quando encontradas em nódulos mamários suspeitos.
Comentários
Faça login para participar da discussão.
Cadastre-se Gratuitamente
Carregando comentários...