Uma mulher de 44 anos de idade passou a apresentar, na úl...
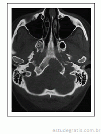
Uma mulher de 44 anos de idade passou a apresentar, na última semana, episódios esporádicos de parestesias em hemiface esquerda. Por duas vezes, apresentou dificuldade para ingerir líquidos. Apresentou três episódios de vertigens rotatórias e vômitos. De patologias pregressas, apenas hipertensão arterial leve, controlada com uso de losartana. O exame neurológico é normal. Não há alterações objetivas no exame nos nervos cranianos. Hemograma, glicemia, dosagem de derivados nitrogenados, eletrólitos no sangue: tudo normal. Exame de neuroimagem, reproduzido a seguir, mostra a presença de uma lesão expansiva osteolítica no terço inferior do clivus, à esquerda, que se estende até o arco anterior do atlas.

Nesse caso, o acesso que permite ressecção da lesão associada a um menor risco de morbidade e menor tempo de internação hospitalar é a via
Comentários
Faça login para participar da discussão.
Cadastre-se Gratuitamente