José, com 42 anos de idade, foi renovar sua carteira de m...
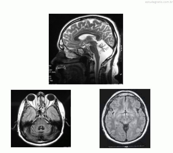
José, com 42 anos de idade, foi renovar sua carteira de motorista e, ainda na entrada do consultório, o médico observou uma marcha com base alargada e insegura. Durante a avaliação clínica, ao testar a coordenação, o médico verificou tremor de intenção à prova índex-nariz, dismetria e disdiacocinesia bilateral. Os pares cranianos, a força muscular e os reflexos — profundos e superficiais — eram normais. A fala de José era pausada, silabada. Ao ser questionado sobre o uso de álcool, negou-o e referiu que o problema do desequilíbrio vem piorando nos últimos dez anos, fato que provocou o acompanhamento médico e motivou a realização de uma ressonância nuclear magnética (RNM), cujas imagens são apresentadas abaixo.

Acerca desse quadro clínico, julgue os seguintes itens.
A RNM evidencia uma atrofia cerebral grave, que é compatível com os sintomas descritos.
Comentários
Faça login para participar da discussão.
Cadastre-se Gratuitamente