Uma paciente de 35 anos de idade foi levada ao prontosoco...
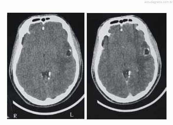
Uma paciente de 35 anos de idade foi levada ao prontosocorro após uma convulsão. Ao exame de admissão, encontravase confusa, sonolenta, porém reativa ao chamado. Apresentava sutil paresia braquiofacial direita. O esposo informou que, nos últimos cinco meses, a paciente começou a apresentar dificuldade para se comunicar, troca de palavras e dificuldade para nomeação. Há duas semanas, o quadro piorou e começou a ficar desligada e a apresentar abalos musculares no membro superior direito, de rápida duração, além de queixar-se de dor de cabeça. Foi realizada uma tomografia computadorizada (TC) de crânio, sem e com contraste, obtendo-se as imagens a seguir.

Com referência a esse quadro clínico, julgue os itens que se
seguem.
A imagem mostra um edema vasogênico, que tem como base a ruptura da barreira hematencefálica, levando a aumento da permeabilidade e passagem de líquidos do espaço intravascular para o extravascular, extracelular.
Comentários
Faça login para participar da discussão.
Cadastre-se Gratuitamente