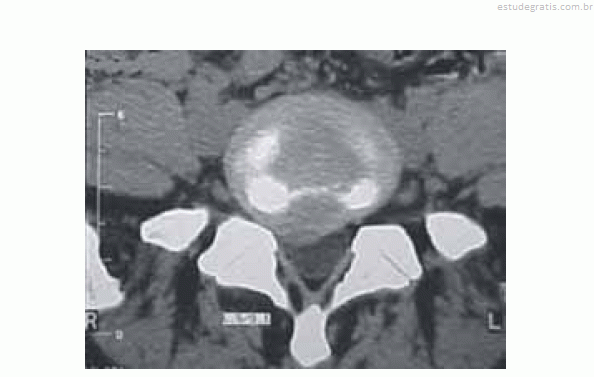
Um empregado de uma fábrica de móveis com 47 anos de idad...
Um empregado de uma fábrica de móveis com 47 anos de idade queixa-se, há algum tempo, de lombalgia, mas continua trabalhando normalmente. Certo dia, teve queda de cima de um caminhão e não conseguiu mais andar devido à dor na região lombar e no membro inferior à direita; ficou em repouso por uma semana, mas continuou com os sintomas álgicos. Voltou ao serviço médico quando realizou novo exame físico, sendo constatadas algumas alterações. O médico solicitou uma tomografia computadorizada (TC) da coluna lombar, cuja imagem é reproduzida abaixo, e o encaminhou ao neurologista.

Acerca desse quadro clínico, julgue os próximos itens.
O tratamento cirúrgico tem indicação absoluta se o paciente apresentar piora do quadro, com deficit de força.
Comentários
Faça login para participar da discussão.
Cadastre-se Gratuitamente