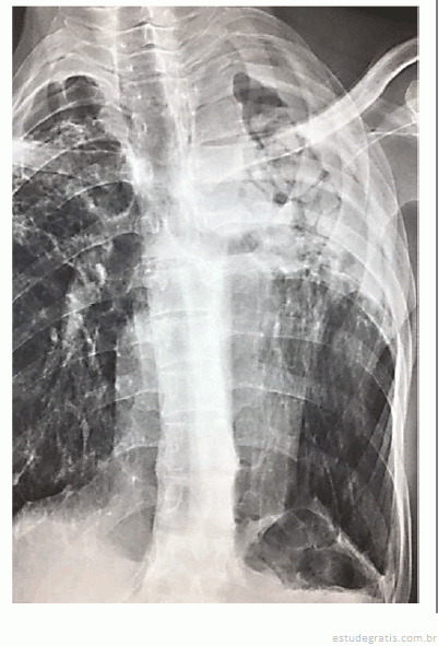
Paciente do sexo masculino, de 54 anos de idade, motorist...
Paciente do sexo masculino, de 54 anos de idade, motorista de ônibus, foi encaminhado a consulta de ambulatório em serviço terciário para avaliação de hemoptise. Relatou dois episódios de moderada quantidade, aproximadamente 1 colher de sopa, de sangue vivo. O primeiro episódio ocorreu havia 3 meses e, o último, havia 2 semanas. O paciente nunca apresentou dispneia associada ou necessitou de atendimento em emergência. Era tabagista em remissão havia 5 anos, quando foi diagnosticado com tuberculose pulmonar, tratada com tuberculostáticos por 6 meses, sendo considerado curado. A imagem a seguir mostra o Raio X de tórax do paciente.

Considerando o caso clínico apresentado e os conhecimentos médicos correlatos a ele, julgue os itens a seguir.
O tratamento dessa condição nunca é cirúrgico.Comentários
Faça login para participar da discussão.
Cadastre-se Gratuitamente