Questão
Q608178
Prova: Concurso Secretaria de Estado da Sa?de - RO (SESAU/RO) 2017 - M?dico Cardiopediatra ?rea Ecocardiograma - FUNRIO Funda??o de Apoio a Pesquisa, Ensino e Assist?ncia (FUNRIO) do ano 2017
•
Secretaria de Estado da Saúde - RO (SESAU/RO) 2017
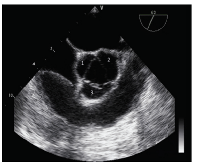
Na imagem abaixo, a estrutura correspondente ao número...
Na imagem abaixo, a estrutura correspondente ao número 1 é:

Comentários
Faça login para participar da discussão.
Cadastre-se Gratuitamente
Carregando comentários...