Questão
Q608176
Prova: Concurso Secretaria de Estado da Sa?de - RO (SESAU/RO) 2017 - M?dico Cardiopediatra ?rea Ecocardiograma - FUNRIO Funda??o de Apoio a Pesquisa, Ensino e Assist?ncia (FUNRIO) do ano 2017
•
Secretaria de Estado da Saúde - RO (SESAU/RO) 2017
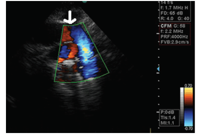
Na figura abaixo temos uma imagem de Doppler colorido ao...
Na figura abaixo temos uma imagem de Doppler colorido ao nível do arco aórtico.

A parte negra situada entre o Doppler vermelho e o azul é resultante de:
Comentários
Faça login para participar da discussão.
Cadastre-se Gratuitamente
Carregando comentários...