Questão
Q608172
Prova: Concurso Secretaria de Estado da Sa?de - RO (SESAU/RO) 2017 - M?dico Cardiopediatra ?rea Ecografia - FUNRIO Funda??o de Apoio a Pesquisa, Ensino e Assist?ncia (FUNRIO) do ano 2017
•
Secretaria de Estado da Saúde - RO (SESAU/RO) 2017
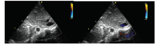
Considere a imagem ecocardiográfica obtida a seguir: Pod...
Considere a imagem ecocardiográfica obtida a seguir:

Podemos dizer que trata-se de:
Comentários
Faça login para participar da discussão.
Cadastre-se Gratuitamente
Carregando comentários...