Um lactente de quatro meses de idade cronológica, nascido...

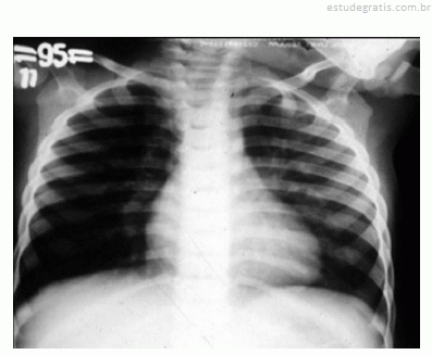
Um lactente de quatro meses de idade cronológica, nascido prematuro de vinte e nove semanas gestacionais, apresentou, durante o inverno, febre, tosse e dificuldade respiratória nos últimos três dias antes de ser levado por sua mãe à emergência pediátrica. A mãe relatou que a criança nunca havia apresentado um episódio semelhante a esse. O calendário vacinal mostrou que a criança recebeu duas doses da vacina antipneumocócica decavalente, porém não recebeu palivizumabe. O exame físico da criança mostrou desidratação, taquipnéia, retração intercostal e sibilos inspiratórios e expiratórios. O resultado do hemograma solicitado pelo médico revelou hematócrito de 40%, concentração de hemoglobina de 13 g/dL, 9.000 leucócitos/mm3, 55% de linfócitos, 34% de neutrófilos, 2% de eosinófilos, 1% de basófilos, 8% de monócitos, 340.000 plaquetas/mm3. O médico solicitou radiografia de tórax da criança, cuja imagem é apresentada na figura.
Com relação a esse caso clínico, julgue os itens subsequentes.
Nesse caso, a pneumonia bacteriana não configura um diagnóstico diferencial, pois se trata do primeiro episódio de dificuldade respiratória com broncoespasmo. Além disso, a radiografia do tórax não mostra áreas de atelectasia ou condensação.Comentários
Faça login para participar da discussão.
Cadastre-se Gratuitamente